Семенов И. П., ветеринарный врач-анестезиолог;
Архарова А. К., ветеринарный врач-анестезиолог;
Гордеева В. М., ветеринарный врач-анестезиолог. ВК Сложного случая, г. Санкт-Петербург.
Аннотация
Межфасциальные блокады шейной области у животных представляют собой перспективный метод регионарной анестезии, обеспечивающий эффективное интра- и послеоперационное обезболивание при хирургических вмешательствах. Данная методика обеспечивает оптимальное обезболивание при минимальном риске осложнений, что делает ее необходимым инструментом в хирургии шеи. Она направлена на блокирование болевых импульсов, исходящих из шейного отдела позвоночника и окружающих тканей. Этот метод широко применяется в неврологии, ортопедии, травматологии и других специализированных областях медицины для диагностики и лечения болевых синдромов.В статье рассматриваются анатомические особенности, техники выполнения и клиническое применение межфасциальных блокад в шейной области у кошек и собак, современные ультразвуковые методики выполнения блокад, а также их клиническая эффективность при операциях различной сложности.
Введение
Развитие ветеринарной анестезиологии требует внедрения эффективных и безопасных методов обезболивания, особенно при сложных хирургических вмешательствах в области шеи. Фасциальные пространства шеи, образованные соединительнотканными оболочками, играют ключевую роль в распространении местных анестетиков при регионарной анестезии. Межфасциальные блокады (МФБ), выполняемые под ультразвуковым контролем, в этой области основаны на точном введении препаратов. Это позволяет достичь селективной анестезии целевых нервных структур с минимальным системным воздействием, что особенно важно у пациентов с сопутствующими патологиями.На базе клиники доктора Сотникова были проведены комплексные исследования, включающие компьютерную визуализацию и анатомическое изучение разработанных методик глубоких межфасциальных блокад. Эти методики успешно внедрены в клиническую практику проведения операций в области шеи. С помощью компьютерной томографии и специализированных ветеринарных анатомических атласов мы тщательно изучили топографию мышц, фасций, костей, сосудов и других анатомических структур, чтобы разработать оптимальный подход для введения анестетика.
После разработки оптимального подхода для проведения блокад мы вводили разные объемы контрастного вещества в кадавр-исследованиях (были протестированы йогексол, натрия хлорид, синяя тушь в соотношении 1:3:0,05), чтобы оценить распределение раствора по фасциям. В последующем проводилась диссекция шейной области для подтверждения окрашивания соответствующих нервных структур как предполагаемых точек для блокирования нервных импульсов. Клиническая эффективность разработанной методики оценивалась путем проведения хирургических манипуляций с применением данных блокад. В качестве анестетиков использовались ропивакаин 0,5% и йогексол в соотношении 1:4. Объем вводимого раствора составлял 0,4 мл/кг. Для контроля распределения анестетика применялась компьютерная томография (КТ).
Мы получили достаточное количество данных о распределении анестетика в выбранных точках блокад, а также отметили высокую эффективность блокад при хирургических вмешательствах.
Клиническое применение
Острая боль: интраоперационное и послеоперационное обезболивание при операциях в области шеи.Неврологические операции:
- декомпрессия при экструзиях спинного мозга и сирингомиелии;
- удаление межпозвоночных грыж;
- хирургическое лечение атлантоаксиальной нестабильности;
- стабилизация переломов позвонков;
- коррекция врожденных аномалий;
- установка транспедикулярных фиксаторов;
- удаление экстрадуральных опухолей;
- операции при новообразованиях спинного мозга;
- удаление костных опухолей позвонков;
- дренирование эпидуральных абсцессов;
- хирургическое лечение дивертикулов пищевода.
В общей хирургии - при тиреоидэктомии, резекции паращитовидных желез, удалении кист и опухолей, а также для проведения диагностических блокад, которые позволяют уточнить источник боли при шейных болевых синдромах.
Преимущества метода:
- выраженный анальгетический эффект (продолжительность до 8–12 часов);
- снижение потребности в системных анальгетиках;
- минимальное влияние на гемодинамику;
- возможность применения в послеоперационном периоде;
- снижение частоты послеоперационных осложнений;
- уменьшение риска повреждения нервов и сосудов благодаря высокой точности визуализации;
- минимальная системная токсичность вследствие локального введения препарата
Анатомия
Мышцы шеи у собак представляют собой сложную систему, обеспечивающую не только движение, но и стабилизацию шейного отдела позвоночника.По топографии и функции их можно разделить на три основные группы:
- Поверхностные мышцы (дорсальные и вентральные). Обеспечивают основные движения головы и шеи, участвуют в сгибании, разгибании и боковых наклонах.
- Короткие затылочно-позвоночные мышцы. Обеспечивают точные движения в области атланта и эпистрофея, отвечают за вращение и стабилизацию головы.
- Глубокие мышцы шеи. Обеспечивают тонкую регуляцию движений и стабилизацию позвонков (рис. 1). В эту группу также входят межпоперечные мышцы (M. intertransversarii) - группа мелких коротких мышц, которые соединяют структуры каждого позвонка (дорсальные, вентральные и средние). С этими мышцами в первую очередь контактируют спинномозговые нервы, покидающие межпозвоночные отверстия.
При анатомическом исследовании с окрашиванием нервных структур посредством проведения глубоких фасциальных инъекций для оценки распространения анестетика было выявлено, что прилегающая к поперечным отросткам длинная мышца головы (m. longus capitis) на уровне С3 (рядом с которой проходят спинномозговые нервы [СМН] С2-С3) начинает смещаться вентромедиально, и в области дорсального бугорка поперечного отростка третьего шейного позвонка (рис. 2) прикрепляется лестничная мышца (m. scalenus), к которой с дорсальной стороны подходит СМН С4. Далее нервы проходят поперечно по латеральной поверхности плечепоперечной мышцы (m. omotransversarius) и отдают кожные ветви от основных стволов, после чего направляются дорсально (рис. 3).
Рис. 3. Поверхностные нервы шеи: латеральная поверхность1.Иннервация шеи у животных осуществляется через спинномозговые нервы, которые выходят из межпозвоночных отверстий, формируя шейное сплетение (C1–C4) и плечевое сплетение (C5–T1). На 7 шейных позвонков приходится 8 пар спинномозговых нервов.
Шейное сплетение (plexus cervicalis) – это совокупность нервных волокон, образованных передними (вентральными) ветвями спинномозговых нервов на уровне сегментов C1–C4. В его состав могут входить аксоны всех шейных нервов.
Шейный отдел позвоночного столба играет ключевую роль в обеспечении иннервации структур головы, шеи и передних конечностей. Нервные структуры, ответственные за эту иннервацию, включают шейное и плечевое сплетения.
Основные нервы, исходящие из шейного сплетения:
- Большой затылочный нерв (n. occipitalis major; C2) обеспечивает чувствительную иннервацию кожи затылка.
- Большой ушной нерв (n. auricularis magnus; С2–С3) иннервирует кожу ушной раковины, наружного слухового прохода.
- Поперечный нерв шеи (n. transversus colli; С2–С3) обеспечивает иннервацию кожи вентральной и латеральной поверхности шеи.
- Надключичные нервы (nn. supraclaviculares; С3–С4) иннервируют кожу плечевого пояса и краниальную часть грудной клетки.
- Грудино-подъязычный и грудино-щитовидный нервы (nn. sternohyoideus et sternothyroideus; С1–С2) иннервируют грудино-подъязычную и грудино-щитовидную мышцы, участвуют в глотании и движениях гортани.
- Диафрагмальный нерв (n. phrenicus; C4–C6, частично C3) иннервирует диафрагму (основной дыхательный нерв) и участвует в иннервации плевры.
- Дорсальные ветви шейных нервов (rr. dorsales; С1–С4) иннервируют глубокие мышцы шеи (разгибатели), кожу затылка, а также важны для поддержания позы головы.
Основные нервы, исходящие из плечевого сплетения:
- Короткие нервы (иннервация плечевого пояса)
- надлопаточный нерв (n. suprascapularis; C6–C7) иннервирует надостную и подостную мышцы;
- подлопаточный нерв (n. subscapularis; C6–C8) иннервирует подлопаточную мышцу;
- подмышечный нерв (n. axillaris; C7–C8) иннервирует дельтовидную, малую круглую и клювовидно-плечевую мышцы, а также отвечает за отведение и сгибание плеча;
- грудные нервы (nn. pectorales; C7–T1) иннервируют поверхностные и глубокие грудные мышцы, обеспечивая приведение и протракцию конечности;
- грудоспинной нерв (n. thoracodorsalis; C7–T1) иннервирует широчайшую мышцу спины, участвуя в приведении и ретракции плеча;
- дорсальный лопаточный нерв (n. dorsalis scapulae; C6–C7) иннервирует ромбовидные мышцы и подниматель лопатки.
- Длинные нервы (иннервация конечности)
- Мышечно-кожный нерв (n. musculocutaneus; C6–C8) иннервирует клювовидно-плечевую, двуглавую и плечевую мышцы, а также обеспечивает чувствительность медиальной поверхности предплечья.
- Лучевой нерв (n. radialis; C7–T1) иннервирует трехглавую мышцу плеча, разгибатели запястья и пальцев, супинатор и отвечает за чувствительность тыльной поверхности лапы и 3-го и 4-го пальцев.
- Срединный нерв (n. medianus; C8–T2) иннервирует глубокий пальцевый сгибатель, круглый пронатор и лучевой сгибатель запястья, обеспечивая чувствительность пальмарной поверхности лапы и 2-го и 3-го пальцев.
- Локтевой нерв (n. ulnaris; T1–T2) иннервирует локтевой сгибатель запястья, глубокую часть глубокого пальцевого сгибателя и межкостные мышцы, а также отвечает за чувствительность локтевой стороны лапы и 4-го и 5-го пальцев.
Общая методика выполнения блокад
Ультразвуковая навигация – стандарт, обеспечивающий визуализацию фасциальных пространств шеи и точное введение анестетика.Локализация фасциального пространства – идентификация гипоэхогенной зоны между фасциями с подтверждением расщепления при гидродиссекции.
Для проведения регионарной анестезии использовались длительные местные анестетики, такие как бупивакаин и ропивакаин, в концентрации 0,35–0,5%, с добавлением адъювантов: дексаметазона, дексдомитора, опиоидных анальгетиков и магния сульфата. При проведении хирургических вмешательств мы не применяли короткие местные анестетики, такие как лидокаин, из-за их относительно короткого времени действия, которое может быть недостаточным для проведения самой операции и обеспечения адекватной постхирургической аналгезии (применение адъювантов в регионарной анестезии подробно рассмотрено в статье анестезиолога Закировой О. В., журнал «Ветеринарный Петербург» № 4/20237).
Объем анестетика на одну точку введения составляет 0,3–0,4 мл/кг идеальной массы тела (ИМТ). Указанные дозы были подобраны авторами статьи на основании проведенных исследований. Блокады, как правило, выполняются с двух сторон при операциях на вентральной поверхности шеи и с одной стороны при операциях на латеральной поверхности шеи.
Блокада длинной мышцы головы
В ходе исследования было выявлено, что при введении анестетика в область фасциального пространства между длинной мышцей головы и длинной мышцей шеи на уровне дорсального бугорка поперечного отростка третьего шейного позвонка контрастное вещество чаще получало краниальное распространение. Анатомическое исследование подтвердило эффективное окрашивание вентральных спинномозговых нервов С2-С3. Такая блокада может быть полезна при проведении операций на шейном отделе позвоночника в данной области.На видео 1 и рис. 4 представлен клинический случай блокады длинной мышцы головы для проведения хирургического вмешательства по поводу атлантоаксиальной нестабильности. Пациент – собака породы йоркширский терьер, вес 1,2 кг, возраст 8 месяцев. Блокада была проведена с помощью ультразвуковой навигации.
Видео 1. Проведение блокады длинной мышцы головы на уровне третьего шейного позвонка.
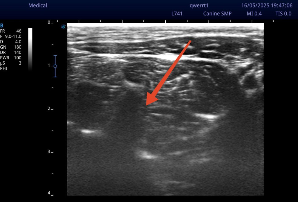
Датчик УЗИ располагается на латеральной поверхности шеи, поперек плоскости оси шейных позвонков (рис. 5). Сканирование начинается от первого шейного позвонка, смещаясь каудально. Шейные позвонки с первого по третий имеют характерные анатомические отличия, облегчающие идентификацию необходимых структур. Стоит уточнить, что кости на УЗИ не просвечиваются, так как ультразвук отражается от поверхности кортикального слоя, формируя изображение. Первый шейный позвонок (атлант) при УЗ-сканировании латеральной поверхности шеи имеет характерные анатомические особенности. Крылья атланта имеют значительную длину и ширину, что позволяет пропальпировать их перед сканированием и установить датчик в эту область, сразу обнаружив на экране силуэт, напоминающий большую тонкую волну, вершина которой направлена перпендикулярно плоскости сканирования. Второй шейный позвонок (эпистрофей/аксис) характеризуется самым маленьким, едва различимым при сканировании поперечным отростком, но отличается довольно массивными суставными отростками. К тому же поперечный отросток эпистрофея может частично перекрывать визуализацию вентрального бугорка поперечного отростка третьего шейного позвонка. Третий и последующие шейные позвонки имеют схожую типичную анатомическую структуру. Основной мишенью визуализации при блокаде будут именно поперечные отростки шейных позвонков. В своем составе поперечный отросток в его краниальной части имеет маленький вентральный бугорок, который при сканировании будет определяться как небольшой выступ, направленный к плоскости сканирования под углом примерно 45°. В каудальной части также имеется более длинный дорсальный бугорок, который чаще обращен к плоскости сканирования перпендикулярно. Таким образом, чередуя вентральные и дорсальные бугорки, можно безошибочно определить необходимый нам анатомический ориентир.
При визуализации дорсального бугорка третьего шейного позвонка можно увидеть фасцию, прилегающую к поперечным отросткам, в виде гиперэхогенной линии, отходящую перпендикулярно (при этом параллельно сканированию). Введение спинальной иглы осуществляется с вентролатеральной стороны в фасциальное пространство между длинной мышцей шеи и длинной мышцей головы до соприкосновения с поперечным отростком (рис. 6, 7).
Объем анестетика ропивакаин 0,5% – 0,4 мл/кг ИМТ для одной стороны. Блокада выполнялась билатерально. В качестве адъюванта для местного анестетика был добавлен дексмедетомидин в объеме 0,5 мкг/мл.
Блокада лестничной мышцы на примере операции, проведенной у 7-летней собаки породы французский бульдог (вес 11 кг) по поводу декомпрессии спинного мозга, вызванной экструзией области С4-С5. Пациент поступил в клинику с сильно выраженным болевым синдромом в области шеи, собака при поворотах головы в стороны сжимала шею, вокализировала и дрожала, также при осмотре отмечался спастический гемипарез по левой стороне грудной и тазовой конечностей.
Для визуализации распределения местного анестетика было проведено компьютерно-томографическое (КТ) исследование с использованием йогексола (4:1) в качестве контрастного вещества. Результаты КТ показали хорошее распределение анестетика в краниальном и каудальном направлениях (рис. 8), а также широкую площадь проникновения по целевым фасциальным структурам.
Видео 2. Проведение блокады лестничной мышцы на уровне четвертого шейного позвонка: дорсальный доступ.
При введении равных объемов раствора наблюдается вариабельность в его распределении. Следует учитывать, что фасциальные блокады могут не обеспечивать полное покрытие необходимой области. В связи с этим для обеспечения достаточного обезболивания рекомендуется применять мультимодальную анестезию, включающую анальгетики, действующие на различных уровнях проведения болевого импульса. Мультимодальная анестезия предполагает использование малых или умеренных доз различных медикаментов для оптимизации протокола обезболивания при сниженных дозах каждого из препаратов.
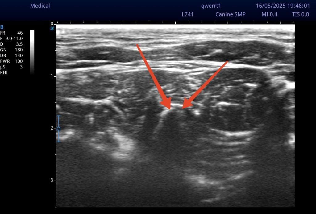
Для выполнения данной хирургической манипуляции, помимо общей анестезии, индуцированной пропофолом и поддерживаемой ингаляционной анестезией с помощью изофлурана, была проведена блокада лестничной мышцы под контролем УЗИ (видео 2). Техника выполнения блокады лестничной мышцы схожа с методикой блокады длинной мышцы головы за исключением необходимости идентифицировать четвертый шейный позвонок с краниальной его части, при этом целевой точкой будет вентральный бугорок поперечного отростка С4. Он визуализируется как акустическая тень от кортикального слоя вентрального бугорка, направленная перпендикулярно к поверхности сканирования. Над бугорком определяется структура, напоминающая «шапочку», которая является лестничной мышцей.
Возможны два подхода к проведению блокады (рис. 9). Введение спинальной иглы может осуществляться с дорсальной или вентральной стороны датчика. При первом подходе игла направляется до соприкосновения с вентральным бугорком между вентральной частью лестничной мышцы и длинной мышцей головы. Введение местного анестетика в этой зоне предполагает более вентральное его распределение. При втором подходе, когда игла направляется с дорсолатеральной поверхности шеи, точкой введения анестетика будет дорсальная часть лестничной мышцы рядом со средними межпоперечными мышцами. При выполнении такой инъекции на УЗИ можно обратить внимание, как анестетик стекает в сторону, к месту выхода спинномозгового нерва из межпозвоночного отверстия. На рис. 10 красной точкой отмечено место введения анестетика на КТ-скане третьего шейного позвонка.
Объем анестетика ропивакаин 0,5% – 0,4 мл/кг ИМТ на одну точку введения. Блокада выполнялась билатерально. К местному анестетику был добавлен адъювант дексмедетомидин в дозе 0,5 мкг/мл.
Возможные осложнения
Пункция крупных сосудов. Одной из потенциальных опасностей является повреждение крупных сосудов шеи, таких как яремная вена и сонная артерия. Для предотвращения этих осложнений необходимо визуализировать крупные сосуды во избежание их травмирования.Блокада вагосимпатического ствола у кошек и собак осуществляется в краниовентральной области вблизи общих сонных артерий. Исследования с использованием контрастирования фасциальных пространств подтверждают возможность распространения анестетика в этой зоне.
Осложнения, связанные с блокадой:
- Блокада симпатического компонента приводит к временной блокаде проведения нервных импульсов, что клинически проявляется характерными симптомами синдрома Горнера (Horner’s syndrome).
- Блокада блуждающего нерва, который обеспечивает парасимпатическую иннервацию сердца, бронхов, ЖКТ и гортани, может привести к увеличению ЧСС, аритмиям. Парез возвратного нерва – редко возникающее клиническое осложнение (может быть также отнесено к хирургическим осложнениям), которое может потребовать повторной интубации трахеи и седации примерно на 1–2 часа для минимизации нагрузки на поврежденный нерв, предотвращения его дальнейшей травматизации и создания условий для восстановления функции. Кроме того, у пациентов с параличом возвратного нерва высок риск развития гипоксии из-за нарушения проходимости дыхательных путей – ослабленные или неподвижные голосовые связки могут перекрывать просвет гортани. Для предотвращения жизнеугрожающей дыхательной недостаточности необходимы интубация и обеспечение адекватной вентиляции легких. Седация в течение 1–2 часов снижает риск возникновения ларингоспазма, рефлекторного кашля и двигательного беспокойства, которые могут усугубить состояние пациента. Со стороны ЖКТ – тошнота и рвота.
Повреждение нервов
Механические повреждения нервов могут возникать в результате прямой травмы иглой (прокол, надрыв), сдавления гематомой при повреждении сосудов рядом с нервом или ишемии нерва из-за спазма или тромбоза питающих сосудов.Причины:
- неправильная техника введения иглы (резкие движения, отсутствие визуализации);
- анатомические аномалии (атипичное расположение нерва);
- использование слишком толстых игл.
Причины:
- превышение допустимой дозы или концентрации анестетика;
- ошибочное введение препарата непосредственно в нерв.
Причины: травматизация сосудов при блокаде, введение вазоконстрикторов в зону с плохим коллатеральным кровотоком.
Инфекционные осложнения могут проявляться в виде неврита (бактериальное или вирусное воспаление) или абсцесса (сдавление нерва гнойным очагом).
Причины: нарушение правил асептики при проведении блокады, иммунодефицит у пациента.
Другие возможные причины включают аллергические реакции, которые могут привести к отеку и сдавлению нерва.
Профилактика повреждений нервов
Технические меры. Использование УЗИ-навигации – золотой стандарт для визуализации нерва и иглы, применение тупых игл (меньше травмируют нерв). Медленное введение анестетика (при сопротивлении возможна интраневральная инъекция).Правильный выбор препаратов. Безопасные концентрации анестетиков. Тест-аспирация перед введением (чтобы избежать внутрисосудистой инъекции).Общие рекомендации. Строгая асептика (обработка кожи, стерильные перчатки). Постепенное введение иглы (без резких движений). Оценка противопоказаний (коагулопатии, инфекции в зоне блокады).
Заключение
В ветеринарной клинике доктора Сотникова глубокие шейные блокады стали неотъемлемой частью рутинной практики при хирургических вмешательствах в шейном отделе позвоночника у собак. Проведенные нами анатомические исследования с использованием контрастирования и компьютерной томографии позволили точно определить топографию нервных структур и оптимальные точки введения анестетиков. Эти данные подтвердили значимость учета индивидуальных мышечных ориентиров, объяснили избирательное распространение анестетиков в фасциальных пространствах и позволили разработать более эффективные и безопасные методики блокад.Особую благодарность выражаем Рогозину Артемию Андреевичу, ветеринарному врачу КТ-диагностики, за помощь в проведении диагностических исследований.
Дальнейшие исследования в этой области открывают перспективы для совершенствования регионарных анестезиологических техник в ветеринарной хирургии.
Список использованной литературы:
- John W. Hermanson, Alexander de Lahunta. Miller's Anatomy of the Dog 5th Edition, 2019.
- Stanley H. Done, et al. Color Atlas of Veterinary Anatomy. Vol. 3, The Dog and Cat, 2009.
- Alizadeh M., Zindl C., Allen M. J., et al. MRI cross sectional atlas of normal canine cervical musculoskeletal structure, 2016.
- Matt R. Read, Luis Campoy, Berit Fischer. Small Animal Regional Anesthesia and Analgesia, 2nd Edition, 2024.
- https://www.imaios.com/ru/vet-anatomy
- https://veteriankey.com/spinal-nerves/
- Закирова О. В. Адъюванты в регионарной анестезии. Журнал «Ветеринарный Петербург, № 4/2023. https://spbvet.info/zhurnaly/4-2023/adyuvanty-v-regionarnoy-anestezii/









vetpeterburg
Ветеринарный Петербург