Введение
Дисплазия трикуспидального клапана (ДТК) у собак – врожденное заболевание, характеризующееся структурными аномалиями створок, хорд и папиллярных мышц трикуспидального клапана.Впервые патология была систематически описана у собак в 1970-х годах и с тех пор остается актуальной проблемой ветеринарной кардиологии. Распространенность оценивается в пределах 1–7% от всех врожденных пороков сердца у собак, чаще регистрируется у представителей следующих пород: лабрадор, немецкая овчарка, австралийская овчарка и дог7.
Морфологически ДТК может включать гипоплазию хорд септальной створки вследствие нарушения процесса деламинации (неделаминированная створка), утолщение створок, сращение створок с миокардом правого желудочка, а также смещение прикрепления створок дистальнее нормы (аномалии Эбштейна (АЭ)/Эбштейн-подобные аномалии). Эти изменения ведут к нарушению коаптации створок и выраженной регургитации. На ранних стадиях заболевание может не проявляться клинически, однако по мере прогрессирования возникают признаки правожелудочковой недостаточности: асцит, утомляемость, тахипноэ, синкопальные состояния и венозный застой.
Диагностика основывается на результатах эхокардиографии, которая позволяет визуализировать структуру клапана, степень регургитации и дилатацию правых отделов сердца. Применение доплеровской эхокардиографии и трехмерной ЭхоКГ позволяет более точно оценивать патологию4.
Медикаментозное лечение ДТК направлено на контроль симптомов и включает использование диуретиков, ингибиторов ангиотензинпревращающего фермента (иАПФ), антагонистов альдостерона и положительных инотропов. Однако у пациентов с тяжелой регургитацией и признаками декомпенсации эффективность консервативной терапии ограничена. В таких случаях хирургическое вмешательство становится необходимым2,3.
Хирургическая коррекция ДТК может включать аннулопластику по Де Вега (De Vega), деламинацию створок, формирование неохорд, а в тяжелых случаях – полную замену клапана биопротезом. Эти методы требуют проведения искусственного кровообращения и применения кардиоплегии. Успешные вмешательства описаны в литературе и демонстрируют хорошие долгосрочные результаты, включая нормализацию размеров правых отделов, снижение регургитации и восстановление клинического состояния2,3,7.
Таким образом, дисплазия трикуспидального клапана представляет собой тяжелую, потенциально прогрессирующую врожденную патологию, требующую комплексного подхода к диагностике, лечению и наблюдению с возможностью хирургического вмешательства при соответствующих показаниях.
Клинический случай
Пациент: 11-месячная сука породы австралийская овчарка весом 12,6 кг.Диагноз: дисплазия трикуспидального клапана тяжелой степени (класс С по ACVIM).
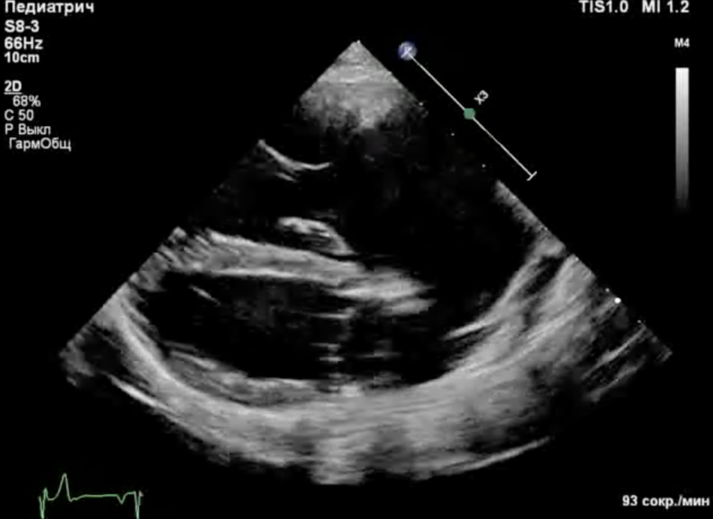
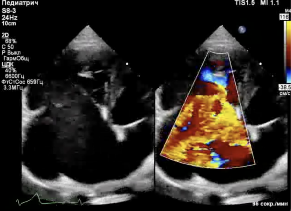
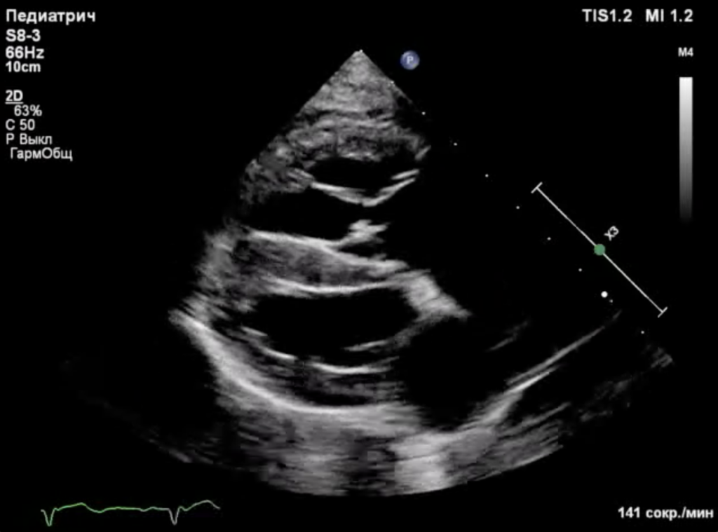
Собака находилась под наблюдением с 5-месячного возраста. При эхокардиографическом исследовании были выявлены следующие аномалии (фото 1-3):
- Выраженная дилатация правого предсердия (47 мм) и правого желудочка (конечный диастолический размер – 34 мм).
- Неделаминированная и малоподвижная септальная створка.
- Укороченные хорды.
- Выраженная регургитация (massive).
- Гепатомегалия, обусловленная застоем крови в системных венах.
На момент госпитализации пациент находился на медикаментозной терапии: фуросемид, спиронолактон, пимобендан, беназеприл. Несмотря на комплексную медикаментозную поддержку, симптомы правожелудочковой недостаточности сохранялись, что послужило основанием для принятия решения о хирургическом вмешательстве.
Хирургическое лечение
Ход операции (видео 1)8 апреля 2023 года был выполнен хирургический доступ к сердцу через правый пятый межреберный промежуток. После рассечения грудной стенки было произведено косое рассечение перикарда с установкой четырех держалок, что обеспечило хорошую визуализацию сердца. Для подключения к аппарату искусственного кровообращения были выполнены прямая канюляция сонной артерии (канюля 10 Fr) и установка кардиоплегической канюли в корень аорты (7 Fr).
Также была проведена бикавальная канюляция: прямая канюля – в краниальную полую вену (канюля 16 Fr, шов Prolene 5/0) и изогнутая канюля – в каудальную полую вену (канюля 14 Fr, Prolene 5/0). Подключение к аппарату ИК прошло без осложнений. Общая длительность искусственного кровообращения составила 2 часа 30 минут, время пережатия аорты – 67 минут.
После введения кардиоплегического раствора и остановки сердца был выполнен продольный атриотомический разрез по стенке правого предсердия (визуализирован трикуспидальный клапан с выраженной дисплазией: малоподвижная неделаминированная септальная створка, расширенное фиброзное кольцо, укороченные хорды).
Была выполнена аннулопластика по методике Де Вега с использованием шовного материала Ethibond 3-0 на подкладках из PTFE. Клапанное кольцо было утянуто до диаметра 20 мм, что обеспечило восстановление анатомического размера и геометрии клапана. Затем была произведена деламинация септальной створки с целью восстановления ее подвижности. На этой же створке были сформированы три неохорды, фиксированные к межжелудочковой перегородке с применением шовного материала из PTFE 5/0. Для улучшения коаптации створок дополнительно было выполнено сшивание задней комиссуры Z-образным швом (5/0) (фото 4, 5).
После восстановления целостности клапана были деканюлированы краниальная и каудальная полые вены, сонная артерия, также была удалена кардиоплегическая канюля.
Все этапы выполнены без осложнений. Отмечено умеренное диффузное кровотечение из культи перикарда.
Видео 1. Оперативное лечение – пластика трикуспидального клапана.
В левую плевральную полость был установлен дренаж для контроля и отведения жидкости. На миокард были наложены временные эпикардиальные электроды: на предсердие и на желудочек. После реперфузии сердца отмечался эпизод фибрилляции желудочков, в связи с чем была проведена прямая дефибрилляция, и далее регистрировался синусовый ритм. Давление в правом предсердии после пластики составило 4 мм рт. ст., давление в правом желудочке – 38/5 мм рт. ст.
Пациент был выведен в стабильном состоянии, с адекватной гемодинамикой. Операция завершилась наложением послойного шва на грудную стенку.
Послеоперационный период
Пациент находился в стационаре под круглосуточным наблюдением. Применялись инфузионная терапия, кардиотоники и антикоагулянты, при нахождении в ОРИТ у пациента было три эпизода анафилактоидной реакции на введение различных препаратов.На 6-й день после операции у пациента возникло трепетание предсердий с предсердной частотой до 380 уд/мин и нерегулярной желудочковой реакцией. Было принято решение о выполнении электроимпульсной терапии (кардиоверсии). Кардиоверсия была проведена под общей анестезией с использованием разряда 2 Дж/кг. Синусовый ритм восстановился с первой попытки.
В последующем периоде наблюдения осложнений не зарегистрировано. Собака быстро восстанавливалась, принимала пищу и проявляла активность.
Динамика и исход
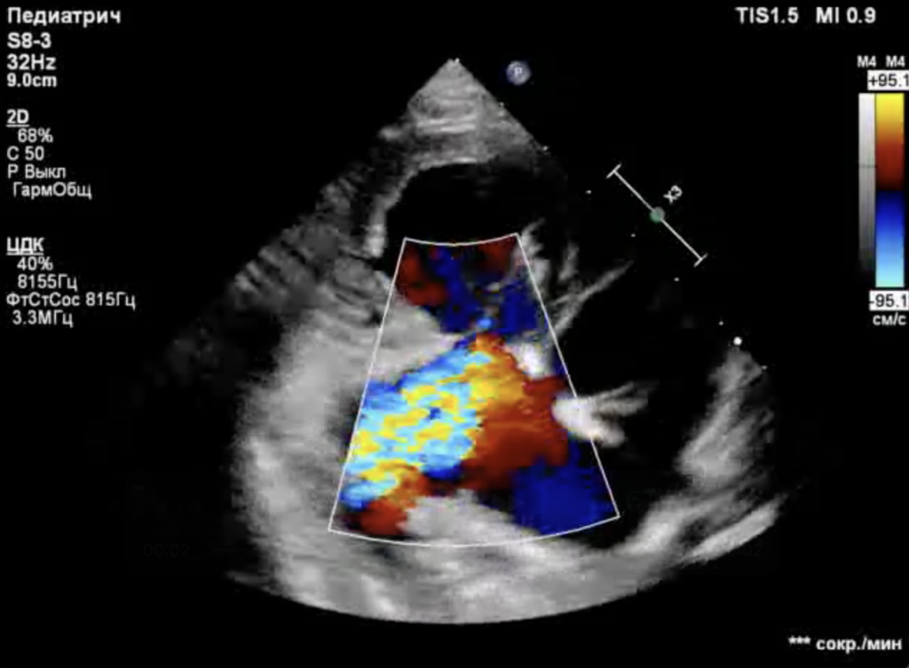
Спустя 8 дней после проведения операции было выполнено контрольное эхокардиографическое исследование, результаты которого выявили следующие изменения (фото 6-8):- Конечный диастолический размер (КДР) правого желудочка снизился с 34 до 22 мм.
- Площадь регургитационного отверстия уменьшилась с 2,7 до 0,7 см2.
- Степень регургитации - moderat/severe.
- Отсутствие застоя в системных венах.
- Систолическая функция ПЖ – в пределах нормы.
Спустя 2 года после операции:
- симптомы отсутствуют;
- регургитация сохраняется в пределах 2–3-й степени, без прогрессии;
- постепенное утолщение септальной створки (фиброз после деламинации);
- отмена всех препаратов, в том числе инотропов (пимобендана).
Амбулаторное лечение
После успешного оперативного лечения и стабилизации состояния пациент был выписан домой с назначением комплексной поддерживающей терапии, направленной на контроль сердечного ритма, предотвращение тромбоэмболических осложнений и снижение преднагрузки.Назначенные препараты:
- Соталол
- Дозировка: 80 мг – 1/6 таблетки 2 раза в день (примерно 0,6 мг/кг каждые 12 часов).
- Цель: антиаритмическая терапия для профилактики рецидива наджелудочковой тахиаритмии (в частности, трепетания предсердий), стабилизация синусового ритма.
- Курс: постепенное увеличение до 1/3 таблетки 2 раза в день, при хорошей переносимости – пожизненно или до отмены по решению кардиолога.
- Ветмедин (Пимобендан)
- Дозировка: 5 мг – 1/2 таблетки 2 раза в день.
- Цель: положительный инотроп, улучшение насосной функции правого желудочка.
- Диувер (Торасемид)
- Дозировка: 5 мг – 1/4 таблетки 1 раз в день.
- Цель: петлевой диуретик для контроля объема циркулирующей крови, снятие застоя в большом круге кровообращения (при наличии).
- Курс: сокращен по мере регресса симптомов, затем отменен.
- Верошпирон (Спиронолактон)
- Дозировка: 25 мг – 1/2 таблетки 1 раз в день.
- Цель: антагонист альдостерона, антифибротический эффект.
- Курс: временный, отменен после стабилизации состояния.
- Ксарелто (Ривароксабан)
- Дозировка: 20 мг – 3/4 таблетки 1 раз в день.
- Цель: профилактика тромбоэмболических осложнений.
- Курс: первые 2–3 месяца после операции, затем отменен.
План контроля:
- повторная ЭхоКГ через 10–14 дней после операции;
- ЭКГ-мониторинг и контроль ритма;
- повторная консультация кардиолога через 1 месяц;
- постепенная отмена диуретиков и пимобендана при отсутствии симптомов;
- решение об отмене антикоагулянтов по результатам ЭхоКГ.
Заключение
Данный случай демонстрирует успешное применение методов пластики при тяжелой форме дисплазии трикуспидального клапана у собаки. Проведенное хирургическое лечение привело к существенному снижению регургитации, улучшению гемодинамики и ликвидации признаков застойной недостаточности. Возникшее осложнение в виде трепетания предсердий было успешно купировано электрической кардиоверсией.Спустя 2 года после операции у пациента сохраняется стабильное состояние без медикаментозной поддержки. Это подтверждает перспективность данного хирургического подхода к лечению тяжелой ДТК у собак в специализированных ветеринарных учреждениях.
Список литературы:
- Favril S., Broeckx B. J. G., et al. Tricuspid valve dysplasia in dogs: A review. Vlaams Diergeneeskundig Tijdschrift, 87(1): 14–24, 2018.
- Sutherland B. J., et al. Surgical repair for canine tricuspid valve dysplasia: Technique and case report. Journal of Veterinary Cardiology, 33: 34–42, 2021.
- Arai S., Griffiths L. G., et al. Bioprosthesis valve replacement in dogs with congenital tricuspid valve dysplasia. Journal of Veterinary Cardiology, 13(1): 43–50, 2011.
- Bristow K., Sargent J., et al. Outcome of bioprosthetic valve replacement in dogs with tricuspid valve dysplasia. Journal of Veterinary Cardiology, 19(6): 487–498, 2017.
- Xie X. J., et al. Tricuspid leaflet resection in an open beating heart for the creation of a canine tricuspid regurgitation model. Interact CardioVasc Thorac Surg, 22(2): 149–154, 2016.
- Beijerink N. J., et al. Tricuspid valve dysplasia and Ebstein’s anomaly in dogs: echocardiographic diagnosis and classification. Veterinary Journal, 221: 21–27, 2017.
- Bonagura J. D., & Lehmkuhl L. B. Diseases of the Tricuspid Valve. In: Textbook of Cardiovascular Medicine in Dogs and Cats, 2nd ed, 2021.








vetpeterburg
Ветеринарный Петербург