Введение
Эндокардиоз митрального клапана (дегенеративная болезнь митрального клапана; DMVD) представляет собой одну из наиболее распространенных форм сердечно-сосудистой патологии у собак старшего возраста, особенно у представителей мелких пород. Патогенез заболевания связан с прогрессирующей дегенерацией створок митрального клапана, что приводит к митральной регургитации, перегрузке объемом левого предсердия и желудочка, развитию сердечной недостаточности и (в запущенных случаях) легочного отека. Консервативная терапия может замедлить прогрессирование заболевания, но не устраняет первопричину патологии.В последние годы хирургическая коррекция митральной регургитации, в частности пластика митрального клапана, стала перспективным методом лечения, позволяющим значительно улучшить прогноз и качество жизни пациентов.
В представленном клиническом случае описана успешная хирургическая коррекция митральной недостаточности у собаки с эндокардиозом. Операция представляла собой пластику митрального клапана (МК) по методике «край-в-край» по Альфиери с дополнительным укреплением фиброзного кольца полукисетным швом.
Клинический случай
Пациент: собака породы пти-брабансон, кобель, возраст 10 лет и 8 месяцев, масса тела 7,65 кг.Состояние пациента на момент обращения характеризовалось прогрессирующей хронической сердечной недостаточностью, обусловленной массивной митральной регургитацией вследствие пролапса створки митрального клапана.
В анамнезе пациента был зафиксирован эпизод отека легких, который успешно купировали в условиях стационара. Пациент находится в стадии ремиссии и получает поддерживающую терапию, включающую пимобендан в дозе 0,25 мг/кг 2 раза в день, спиронолактон в дозе 2 мг/кг 1 раз в день и фуросемид в дозе 1 мг/кг 2 раза в день.
Показания к оперативному вмешательству
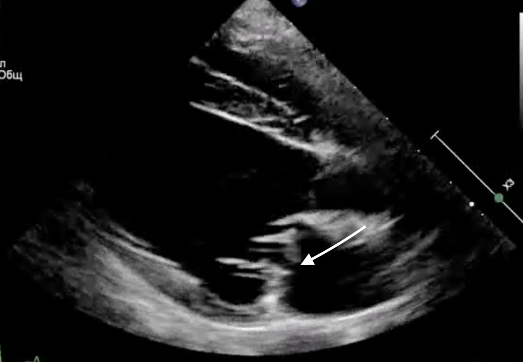
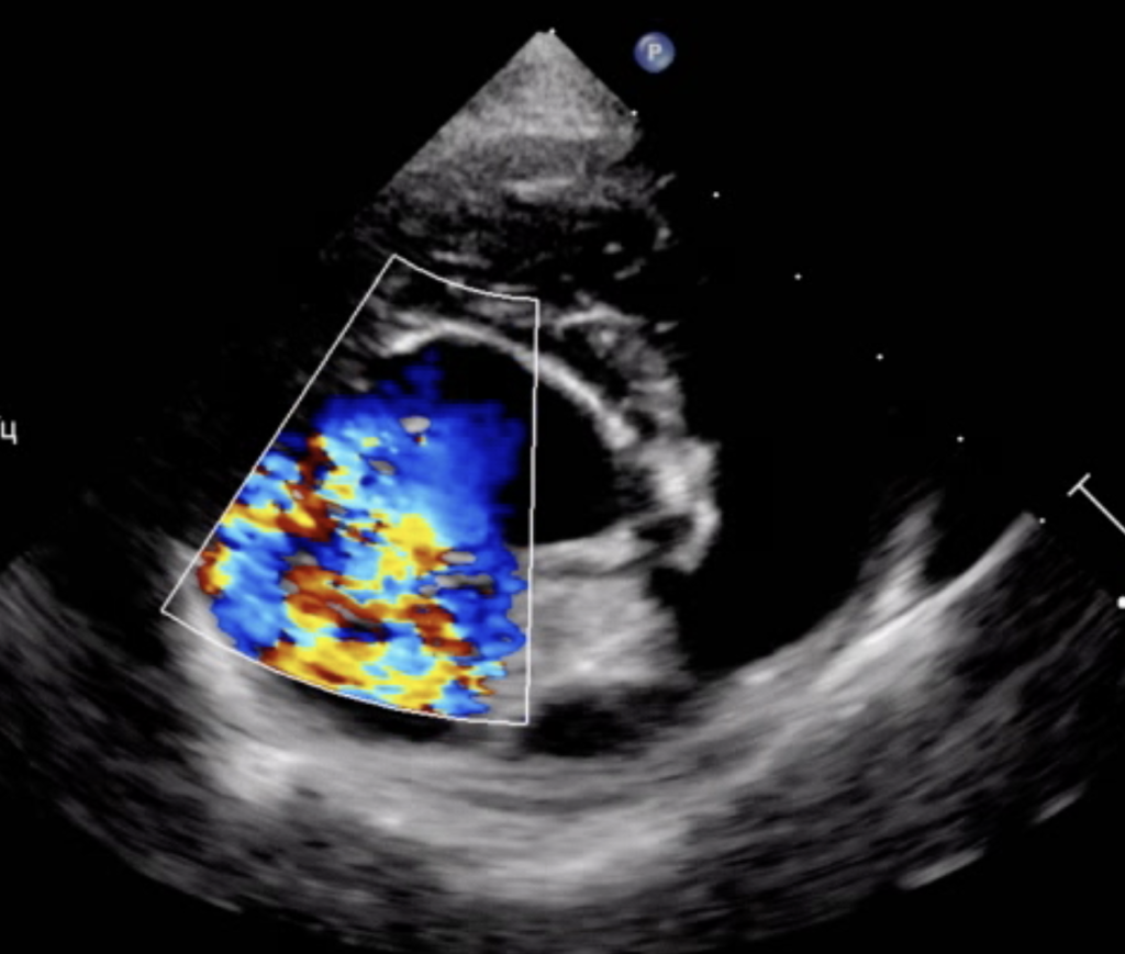
Эхокардиографическое исследование выявило пролапс передней створки митрального клапана в сегменте А2, обусловленный отрывом хорд первого порядка (фото 1, 2). Этот дефект приводил к тяжелой митральной регургитации, что проявлялось одышкой, кашлем, снижением физической активности пациента.В связи с этим было принято решение о проведении хирургического лечения, включающего аннулопластику митрального клапана и коррекцию пролапса створки по методу Альфиери.
Цель оперативного вмешательства – стабилизация состояния пациента и улучшение его прогноза2,4.
План и подготовка к операции
Перед проведением хирургического вмешательства были выполнены комплексные предоперационные исследования, включающие общий и биохимический анализы крови, электрокардиографию (ЭКГ) и эхокардиографию (ЭхоКГ). Результаты лабораторных исследований показали повышенный уровень NT-proBNP, что свидетельствовало о высоком давлении в малом круге кровообращения и нарушении функции сердца.На основании полученных данных был разработан план оперативного вмешательства с применением искусственного кровообращения и глубокого гипотермического охлаждения. Эти методы позволяют оптимизировать условия проведения операции, обеспечивая более эффективное управление состоянием пациента и минимизируя метаболические потребности тканей1,2,5, что способствует снижению риска осложнений и улучшению послеоперационного восстановления.
Техника проведения хирургического вмешательства
Операция проводилась через левостороннюю торакотомию в четвертом межреберном промежутке, что обеспечило лучший доступ к левому предсердию и корню аорты. Левосторонний доступ был выбран на основании анатомических особенностей и успешного опыта, описанного в литературе. Левый боковой доступ считается предпочтительным, поскольку он позволяет получить прямую визуализацию клапана без риска повреждения кровеносных сосудов и других структур сердца3.Этапы операции:
- Доступ к сердцу. Был выполнен косой разрез перикарда для установки удерживающих швов. Это позволило стабилизировать перикард и получить доступ к левому предсердию.
- Канюляция сосудов. Артерии и вены были канюлированы с целью обеспечения искусственного кровообращения (ИК). Артериальная канюля была установлена в сонную артерию, а венозная канюля – в яремную вену. Эти манипуляции позволили подключить пациента к аппарату ИК и обеспечить оксигенацию крови во время остановки сердца.
- Кардиоплегия. Для временной остановки сердечной деятельности использовалась холодная кардиоплегическая смесь, которая вводилась через катетер, установленный в корень аорты. Это обеспечило защиту миокарда от ишемии и дало возможность проводить вмешательство на сердце в условиях полной неподвижности пореационного поля.
- Атриотомия и пластика клапана (видео 1). В целях обеспечения доступа к митральному клапану был выполнен продольный разрез левого предсердия. Также была проведена аннулопластика, направленная на коррекцию формы клапанного кольца. Для этой цели использовались шовный материал ePTFE и полукисетный шов (шовная аннулопластика по Де Вега). Диаметр клапанного кольца был уменьшен до 16 мм для достижения плотной коаптации створок и устранения регургитации (фото 4).
Открыть в ВКонтакте.
Видео 1. Пластика митрального клапана у пациента.
- Пластика «край-в-край» по Альфиери. Пролапс передней створки МК сегмента А2 был исправлен методом пластики «край-в-край» по Альфиери, что позволило стабилизировать створки клапана и уменьшить степень регургитации. Этот метод создает дополнительную точку контакта между створками, снижая степень их расхождения во время систолы желудочков.
- Завершение операции. После завершения пластики клапана было восстановлено кровообращение и пациент был отлучен от аппарата искусственного кровообращения. Затем были ушиты перикард и грудная клетка. Для контроля кровотечения и эвакуации избыточной жидкости из плевральной полости был установлен плевральный дренаж.
Послеоперационное ведение пациента
Послеоперационный период проходил в условиях отделения интенсивной терапии. Пациенту был установлен плевральный дренаж в левую плевральную полость.Антибактериальная терапия включала назначение цефтазидима в дозировке 50 мг/кг каждые 12 часов в течение 10 дней для профилактики инфекционных осложнений. Ветмедин (1,25 мг) применялся дважды в сутки для поддержания функции сердца.
Антиаритмическая терапия проводилась на усмотрение врачей отделения интенсивной терапии в зависимости от показателей ЭКГ.
Плевральный дренаж был удален спустя 24 часа после прекращения кровотечения, а швы на коже были сняты через 14 дней.
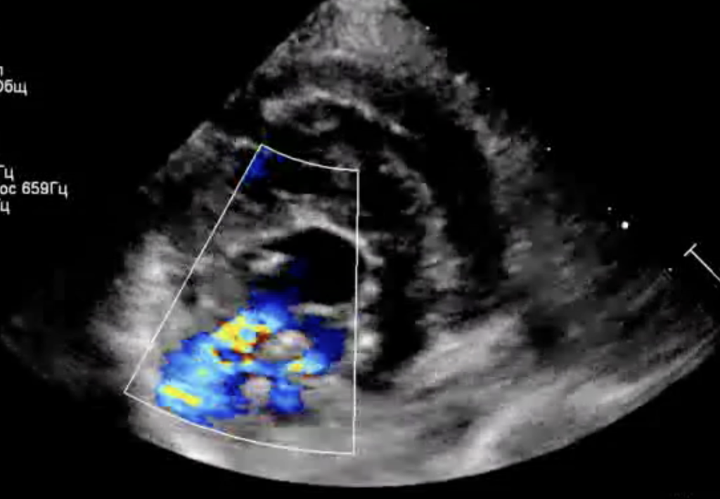
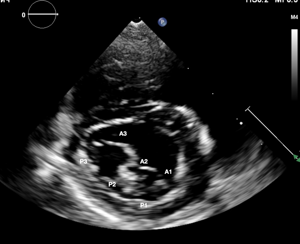
Фото 5-7. Двухмерная эхокардиография, правая парастернальная проекция, короткая ось, срез на уровне створок митрального клапана: значительное улучшение коаптации створок митрального клапана, регургитационные потоки формируются по краям от зоны их стягивания (фото 5); створки клапана стянуты край-в-край в сегменте А2, что обеспечивает основную пропускную способность клапана через зоны А1–Р1 и А3–Р3 (фото 6). Выраженное обратное ремоделирование миокарда левого желудочка (фото 7): уменьшение конечно-диастолического нормализованного размера ЛЖ до 1,3 (до операции КДРн – 1,9).
Результаты и прогноз
Пациент успешно стабилизировался в послеоперационном периоде.В течение первых дней наблюдалась умеренная апатия, однако аппетит был сохранен, что является положительным признаком восстановления. Эхокардиография, проведенная после операции, выявила значительное снижение степени митральной регургитации и уменьшение давления в левом предсердии с 19/13 мм рт. ст. до 11/4 мм рт. ст., что свидетельствует об успешной коррекции дефекта клапана и об эффективности проведенного хирургического вмешательства2 (фото 5-7).
Пациент был выписан домой с рекомендациями по дальнейшему наблюдению у кардиолога и продолжению медикаментозной терапии для предотвращения рецидива сердечной недостаточности. В долгосрочной перспективе планируется периодическое проведение эхокардиографического исследования с целью контроля состояния митрального клапана и общего состояния сердца.
Заключение
Пластика митрального клапана методом аннулопластики и техники «край-в-край» по Алфиери с применением искусственного кровообращения является эффективным методом хирургического лечения митральной регургитации у собак. Этот метод позволяет добиться значительного улучшения гемодинамических показателей и качества жизни пациентов, снижая степень регургитации и предотвращая дальнейшее прогрессирование сердечной недостаточности.Левосторонний доступ через торакотомию обеспечивает удобство доступа к левому предсердию и минимизирует риски, связанные с хирургическими манипуляциями на сердце и крупных сосудах.
Литература:
- Borgarelli M., et al. Mitral valve repair in dogs using an ePTFE chordal implantation device: a pilot study. Journal of Veterinary Cardiology, 2017.
- Uechi M. Mitral valve repair in dogs. Journal of Veterinary Cardiology, 2012.
- Moon J. H., et al. Left-Side Surgical Approach to Mitral Valve in Dog Cadaver Study. Journal of Veterinary Clinical, 2018.
- Kim M. S. Failure of Mitral Valve Repair in a Dog with Severe Mitral Regurgitation. Journal of Veterinary Surgery, 2012.
- Kanemoto I., et al. Open Heart Surgery with Deep Hypothermia and Cardiopulmonary Bypass in Small and Toy Dogs. Veterinary Surgery, 2010.








vetpeterburg
Ветеринарный Петербург