Введение
ESP-блокада (англ. Erector Spinae Plane Block; ESP-block) – это метод регионарной анестезии, применяемый для обезболивания при операциях в области, иннервируемой латеральными и медиальными ветвями, отходящими от дорсальных ветвей спинномозговых нервов. Данная блокада выполняется с применением УЗ-навигации или по методу анатомических ориентиров и подходит для анальгезии пациентов при проведении операций на спинном мозге (гемиламинэктомия, мини-гемиламинэктомия, корпэктомия и др.), а также для десенсибилизации кожи и мышц дорсолатеральной области грудного и поясничного отделов позвоночника3.ESP-блокада используется для лечения острой и хронической нейропатической боли в указанных выше областях, когда отсутствует необходимость хирургического лечения, а терапия боли системными анальгетиками оказывается недостаточно эффективной2. В опубликованной литературе есть сообщения о том, что вышеупомянутая блокада может быть использована для анальгезии органов брюшной полости2.
В статье приведен анализ сведений о применении ESP-блокады в торакальной хирургии, а также указаны экспериментальные данные, полученные при использовании данной блокады в практике автора статьи.
Анатомия
Группа мышц-разгибателей позвоночного столба (лат. Мusculus erector spinae, Erector spinae plane/ ESP) представляет собой часть эпаксиальной мускулатуры, которая расположена вдоль позвоночного столба в грудном и поясничном отделах позвоночника и занимает пространство между остистыми и поперечными отростками позвонков. На уровне грудного отдела ESP включает следующие мышцы: m. spinalis thoracis, m. semispinalis thoracis, m. longissimus thoracis, m. iliocostalis thoracis. Все эти мышцы покрыты общей фасцией (рис. 1)2.Спинномозговые нервы отходят парно от каждого сегмента спинного мозга. Каждый нерв формируется из пучков корешковых нитей, которые образуют дорсальные и вентральные корешки. Далее корешки объединяются, образуя спинномозговой нерв, который выходит из позвоночного канала через межпозвоночное отверстие (рис. 2). В грудном отделе позвоночника на уровне выхода из позвоночного канала каждый спинномозговой нерв разветвляется на четыре основные ветви: менингеальную ( meningeal branch), соединительную ( communicating branch/ramus communicans), дорсальную (dorsal primary branch/dorsal ramus) и вентральную (ventral primary branch/ventral ramus) (рис. 2).
Менингеальная ветвь состоит из афферентных (сенсорных) аксонов и постганглионарных симпатических аксонов. Она обеспечивает иннервацию твердой мозговой оболочки, дорсальной продольной связки и сосудов в позвоночном канале.
Соединительная (или висцеральная) ветвь сообщается с симпатическим стволом и несет афферентные и эфферентные (двигательные) аксоны к висцеральным структурам и от них2.
Дорсальная ветвь спинномозгового нерва делится на две основные части: медиальную и латеральную. Медиальная ветвь обеспечивает иннервацию эпаксиальной мускулатуры, а также участвует в иннервации позвонков, связок и твердой мозговой оболочки. Латеральная ветвь выходит за пределы эпаксиальной мускулатуры и делится на несколько ветвей, которые иннервируют подвздошно-реберную мышцу (m. iliocostalis thoracis) и кожу дорсолатеральной области грудопоясничного отдела позвоночника (рис. 2, 3)2.
Вентральные ветви спинномозговых нервов в грудном отделе формируют межреберные нервы, которые делятся на медиальную и латеральную ветви и обеспечивают иннервацию гипаксиальных мышц грудной стенки. Кроме того, от межреберных нервов отходят ветви, которые иннервируют кожу в латеральной и вентральной частях грудной области (рис. 3)2,4.
Сенсорная иннервация органов грудной полости осуществляется посредством вегетативной нервной системы, состоящей из симпатического и парасимпатического отделов. Эти отделы обеспечивают передачу импульсов от внутренних органов в центральную нервную систему. Чувствительная иннервация внутренних органов осуществляется с помощью афферентных волокон, входящих в состав блуждающего нерва (n. vagus), спинномозговых нервов и ганглиев симпатической нервной системы4. В результате этого обеспечивается восприятие боли, растяжения, химических изменений и другие сенсорных стимулов, исходящих от внутренних органов.
Чувствительная иннервация органов грудной клетки обеспечивается обеими частями вегетативной нервной системы: симпатической и парасимпатической. Однако, несмотря на это, симпатическая нервная система выполняет ключевую роль в передаче болевых (ноцицептивных) импульсов из внутренних органов грудной полости. Это обусловлено тем, что ноцицептивные импульсы передаются преимущественно ноцицепторами по афферентным волокнам симпатической нервной системы, которые затем переходят в ганглии и спинной мозг. Блуждающий нерв, в свою очередь, содержит афферентные волокна, обеспечивающие передачу информации о физиологическом состоянии внутренних органов через механорецепторы, терморецепторы и хеморецепторы (например, о растяжении стенок органов, изменении состава воздуха и регуляции кровообращения)4.
Симпатическая иннервация органов грудной клетки осуществляется с помощью шейно-грудного и среднего шейного ганглиев, отдающих постганглионарные волокна к легким, бронхам, сердцу, перикарду и тимусу. Шейно-грудной ганглий является самым крупным ганглием в организме животных и расположен в области длинной мышцы шеи (m. longus colli) на уровне первого межреберья. Он образован ветвями спинномозговых нервов, отходящих от седьмого шейного и первых четырех грудных позвонков (С7, С8, Th1-Th4), а также включает в себя постганглионарные волокна, отходящие от среднего шейного ганглия. Средний шейный ганглий образуется из ветвей спинномозговых нервов, исходящих от 4–6-го шейных позвонков (С4-С6), и находится на уровне поперечного отростка шестого шейного позвонка. Постганглионарные волокна шейно-грудного и среднего шейных ганглиев обеспечивают сенсорную иннервацию бронхов, легких и перикарда; сенсорная иннервация тимуса осуществляется исключительно за счет постганглионарных волокон шейно-грудного ганглия. В сенсорной иннервации сердца, помимо постганглионарных волокон шейно-грудного ганглия, участвуют ветви пятого и шестого грудных нервов (Th5, Th6). Парасимпатическая иннервация органов грудной полости осуществляется ветвями блуждающего нерва (n. vagus), который (в свою очередь) отходит от продолговатого мозга (рис. 4)1,4.
Механизм действия
ESP-блокада – миофасциальная блокада, при выполнении которой анестетик вводится в пространство между группой мышц-разгибателей позвоночного столба и поперечными отростками грудных позвонков (рис. 5)2,3. В пространстве между фасциями располагаются латеральные и медиальные ветви дорсальных ветвей спинномозговых нервов. При взаимодействии молекул местного анестетика с нервными клетками происходит блокирование натриевых каналов, что предотвращает проникновение ионов натрия в аксоны нейронов. В результате этого уменьшается скорость деполяризации и блокируется проведение нервных импульсов. После инъекции анестетик распространяется в краниальном и каудальном направлениях, воздействуя на ветви спинномозговых нервов 3–7 близлежащих сегментов позвоночного столба2,3. Согласно некоторым исследованиям, местный анестетик может проникать не только к дорсальным, но и к вентральным ветвям спинномозговых нервов, а также в паравертебральное и эпидуральное пространства2,6-8. В результате этого происходит десенсибилизация межреберных нервов и ветвей, обеспечивающих афферентную и эфферентную иннервацию висцеральных структур2,6,7.Однако ввиду того, что все литературные данные в ветеринарии о распределении растворов при проведении ESP-блокады противоречивы и основаны на исследованиях с использованием кадавров5,8,10,14, невозможно достоверно утверждать, что блокада эффективна для десенсибилизации вентральных ветвей спинномозговых нервов грудного отдела позвоночника и висцеральной анальгезии органов грудной полости. В связи с этим автором статьи было проведено небольшое собственное исследование, направленное на оценку распространения раствора при проведении вышеназванной блокады как на кадаврах, так и на живом пациенте.
Целью исследования являлось подтверждение или опровержение информации, представленной в научных источниках.
Материалы, методы и результаты исследования
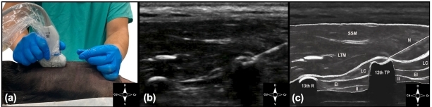
В исследовании были задействованы одна кошка в возрасте 1 год и 5 месяцев, а также два свежих трупа – кошки и собаки породы метис. Всем биологическим моделям со средней массой тела 4 ± 0,5 кг, без травм грудной клетки и с индексами кондиции тела 5–6/9 была проведена ESP-блокада с использованием УЗ-навигации, после чего проводилась компьютерная томография (КТ) для оценки распределения контрастного препарата в межфасциальном, паравертебральном и эпидуральном пространствах. Исследование было проведено с согласия владельцев всех животных. Гибель двух животных не была связана с необходимостью проведения исследования и была опосредована другими причинами. Проведение исследования не повлияло на состояние здоровья живого животного: осложнений после анестезии, КТ и введения контрастного препарата в межфасциальное пространство в процессе длительного периода наблюдения не выявлено.КТ проводил и оценивал врач визуальной диагностики (модель компьютерного томографа Philips MX16). Для ультразвуковой навигации использовался аппарат УЗИ (SonoScape ST-190), оснащенный линейным датчиком с частотой 7,5 МГц.
При выполнении блокады и рентгенографического исследования биологические модели располагались в дорсовентральном положении. Процедура проведения ESP-блокады под ультразвуковым контролем включала введение контрастного препарата «Омнипак» (350 мг/мл) в межфасциальное пространство на уровне Th5-Th6 в дозе 0,4 мл/кг после предварительной гидродиссекции. Сразу после выполнения блокады проводилась КТ грудной клетки для оценки распределения контрастного препарата в межфасциальном, паравертебральном и эпидуральном пространствах.
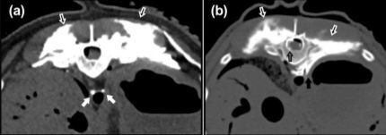
Краниальное и каудальное распространение контрастного препарата в межфасциальном пространстве между группой мышц ESP и поперечными отростками грудных позвонков наблюдалось у всех биологических моделей. Длина распределения составила 5–7 позвонков; точка максимального краниального распространения – Th1, каудального распространения – Th9. У всех биологических моделей было зафиксировано распространение контрастного препарата в паравертебральном пространстве. У одной из трех моделей (живая кошка) также было выявлено наличие контрастного препарата в эпидуральном пространстве (рис. 7). Полученные данные в целом коррелируют с данными из исследования (Herrera-Linares M. E. et al.)5, опубликованного в 2024 г. в журнале The Veterinary Journal (рис. 6). По результатам этого исследования средняя длина распределения препарата в межфасциальном пространстве, определенная на основании данных рентгенографии, составила 7 позвонков. Контрастное вещество было обнаружено в паравертебральном пространстве у 100% кадавров, в эпидуральном пространстве – у 66,7% кадавров (для сравнения использовались результаты, полученные при применении продольной техники выполнения ESP-блокады)5. Различия в результатах, вероятно, обусловлены небольшой выборкой пациентов в данном исследовании.
Стоит отметить, что авторы вышеупомянутого исследования обнаружили распространение контрастного препарата в грудном лимфатическом протоке у 8 из 9 кадавров (рис. 6)5, подобные находки были ранее описаны и в других исследованиях. Авторы исследований считают, что распространение контрастного препарата/растворов красителей в лимфатической системе у кадавров аналогично распространению анестетика у живых животных, и предполагают, что подобное распространение может способствовать усилению анальгетического эффекта блокады, поскольку иммунная система играет значимую роль в воспалительных процессах, влияющих на формирование острой и хронической боли5. Однако данная гипотеза представляется необоснованной вследствие значительных различий в распределении веществ (включая контрастные препараты и красители) в живых организмах и кадаврах.
У живого организма механизмы обмена веществ между кровотоком и лимфатической системой регулируются активными физиологическими процессами, включающими гидростатическое давление, работу клапанов лимфатических сосудов и сокращение их стенок, а также сокращение окружающих скелетных мышц и пульсацию артерий, расположенных вблизи лимфатических сосудов. В нормальных условиях пассивный транспорт веществ из кровеносных сосудов в лимфатическую систему, особенно в значительных количествах, ограничен и зависит от градиентов концентрации и сосудистой проницаемости. Таким образом, у живых организмов проникновение контрастных веществ из кровотока в лимфу осуществляется через активные механизмы фильтрации и транспорта, а вероятность пассивной диффузии минимальная15.
В мертвом организме активные механизмы циркуляции лимфы и клапанный аппарат лимфатических сосудов прекращают функционировать, что приводит к утрате регуляции и преобладанию пассивных процессов. У кадавров происходит увеличение сосудистой проницаемости и наблюдается преобладание диффузионных процессов, что способствует пассивному проникновению различных веществ, включая контрастные препараты и красители, из межклеточного пространства в лимфатические сосуды. В результате в постмортальном состоянии возможно пассивное поступление контрастных веществ в лимфатическую систему, включая грудной лимфатический проток, без участия активных механизмов циркуляции16,17.
Исходя из этих данных можно сделать вывод о том, что проникновение контрастного препарата/растворов красителей в исследованиях на кадаврах, описанных зарубежными авторами, обусловлено диффузией и пассивным проникновением веществ в лимфатические сосуды через межфасциальное пространство из-за повышенной проницаемости стенок сосудов и не может быть сопоставлено с физиологическими процессами в живых организмах. В собственном исследовании автора не было обнаружено распространения контрастного препарата в грудной лимфатический проток ни у живого пациента, ни у кадавров. В качестве моделей в собственном исследовании использовался свежий кадаверный материал, проницаемость сосудистых стенок которого, вероятно, значимо ниже, чем у кадавров, используемых в других исследованиях и подвергавшихся замораживанию с последующей разморозкой спустя 48 и более часов после гибели животных.
На основании результатов собственного исследования и анализа литературных данных, включая успешные случаи применения ESP-блокады для анальгезии при торакальных операциях в человеческой медицине, было принято решение о применении данной блокады в клинической практике.
Продолжение в следующем номере.
Список литературы:
- IMAIOS vet-anatomy. The Anatomy for veterinary imaging. https://doi.org/10.37019/vet-anatomy
- Matt Read, Luis Campoy, Berit Fischer. Small animal regional anaesthesia. 2nd edition, 2024.
- Pablo E. Otero, Diego A. Portela. Manual of small animal regional anesthesia: illustrated anatomy of nerve stimulation and ultrasound-guided nerve block. 2nd edition, 2018.
- Miller’s anatomy of the dog: fourth edition. ISBN: 978-143770812-7 Copyright © 2013, 1993, 1979, 1964 by Saunders, an imprint of Elsevier Inc.
- M.E. Herrera-Linares, Rocío Fernández-Parra , et al. Cadaveric study of the ultrasound-guided erector spinae plane block over the transverse process of the twelfth thoracic vertebra in dogs: Transversal vs longitudinal approach, 2024. https://doi.org/10.1016/j.tvjl.2024.106094
- Felipe Munoz-Leyva, Ki Jinn Chin, Wilman E. Mendiola, et al. Bonilla. Bilateral continuous erector spinae plane (ESP) blockade for perioperative opioid-sparing in median sternotomy: a case series // Journal of Cardiothoracic and Vascular Anesthesia, 2018.
- Стукалов А.В., Лахин Р.Е., Ершов Е.Н.. Клинический случай применения ESP-блока в торакальной хирургии // Регионарная анестезия и лечение острой боли, 2021. DOI:10.17816/1993-6508-2021-15-1-57-62
- Sanjib Das Adhikary, Stephanie Bernard, Hector Lopez, Ki Jinn Chin. Erector Spinae Plane Block Versus Retrolaminar Block: A Magnetic Resonance Imaging and Anatomical Study // Regional anaesthesia and acute pain, 2018. DOI: 10.1097/AAP.0000000000000798
- Inga Viilmann, Maja Drozdzynska, Enzo Vettorato. Analgesic efficacy of a bilateral erector spinae plane block versus a fentanyl constant rate infusion in dogs undergoing hemilaminectomy: a retrospective cohort study, 2022. https://doi.org/10.1186/s12917-022-03523-x
- E. Vidal, H. Giméneza, M. Foreroy, M. Fajardo. Bloqueo del plano del músculo erector espinal: studio anatómico-cadavérico para determinar su mecanismo de acción, 2018. https://doi.org/10.1016/j.redar.2018.07.004
- WSAVA Global Pain Council members and co-authors. Guidelines for recognition, assessment and treatment of pain // Journal of Small Animal Practice, 2014. DOI: 10.1111/jsap.12200
- Gaynor, J. S., Muir, W. W. Handbook of Veterinary Pain Management: 3rd ed. 2015.
- Закирова О. В. Адъюванты в регионарной анестезии // Журнал «Ветеринарный Петербург», № 4, 2023.
- Pablo E Otero, Santiago E Fuensalida, et al. Mechanism of action of the erector spinae plane block: distribution of dye in a porcine model, 2020. DOI 10.1136/rapm-2019-100964
- Холл, Дж. Э. Медицинская физиология по Гайтону и Холлу / Джон Э. Холл, Майкл Э. Холл; пер.с англ. под ред Е. В. Никениной. 3-е изд., испр. и доп. – М.: Логосфера, 2024. – 1344 с.
- Hiroo Suami, Akira Shinaoka. The methodology of lymphatic anatomy studies in a cadaver model: an overview. 2019. DOI: 10.20517/2347-9264.2019.46 https://doi.org/10.20517/2347-9264.2019.46
- Hiroo Suami, G. Ian Taylor, A.O., Wei-Ren Pan. A New Radiographic Cadaver Injection Technique for Investigating the Lymphatic System // 2005. DOI: 10.1097/01.prs.0000163325.06437.b0







vetpeterburg
Ветеринарный Петербург