Введение
В последние годы в России наблюдается рост числа операций по тотальной замене тазобедренного сустава у собак и кошек. Это обусловлено ростом числа квалифицированных ветеринарных специалистов, прошедших специализированное обучение и внедряющих в свою практику современные методы эндопротезирования1.Основная цель тотальной замены тазобедренного сустава – устранение болевого синдрома, вызванного остеоартритом, а также улучшение качества жизни животных.
Актуальность
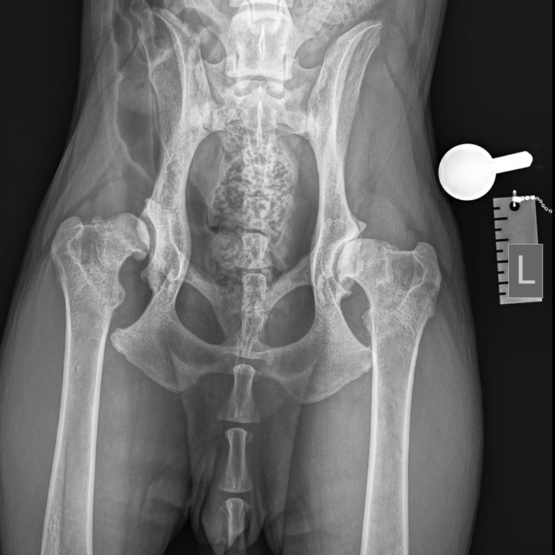
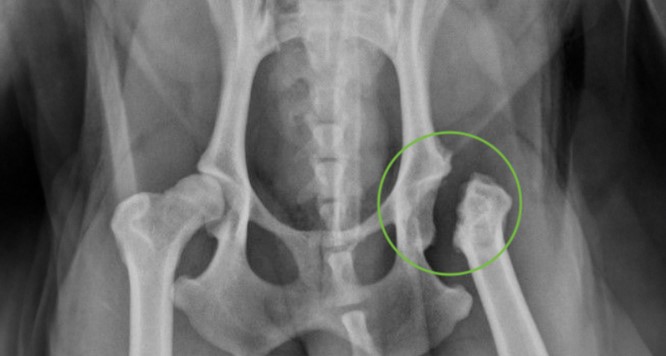
Остеоартрит, часто возникающий на фоне дисплазии тазобедренных суставов (фото 1) - это наиболее распространенная причина хромоты у собак всех возрастных групп. Для лечения собак с клиническими признаками хромоты, а также при первичных (нестабильность) или вторичных (остеоартрит) признаках дисплазии тазобедренных суставов применяются как консервативные методы терапии, так и хирургические вмешательства. К числу хирургических техник относятся тройная остеотомия таза, тотальное эндопротезирование тазобедренного сустава, остэктомия головки и шейки бедренной кости (фото 2). Последняя методика (по опубликованным данным) приводит к неудовлетворительным результатам по объективным и субъективным критериям примерно у 42% собак и кошек3.Предоперационное планирование
Для обеспечения успешного хирургического вмешательства необходимо провести тщательное предоперационное обследование пациента с целью выявления возможных неврологических и ортопедических патологий.Клинические признаки таких патологий могут включать боль при манипуляциях с тазобедренным суставом, особенно при его разгибании, снижение амплитуды движений, крепитацию и атрофию мышц тазовой конечности (фото 3).
Выполняется стандартное рентгенографическое обследование тазобедренных суставов в следующих проекциях: вентродорсальная проекция с экстензией, латеролатеральная проекция таза и дополнительные проекции, такие как «лягушка» (англ. frog-leg) и «йога» (англ. hip flexion).
Тотальное эндопротезирование тазобедренного сустава у собак чаще всего проводится с целью облегчения боли, возникающей в результате остеоартрита на фоне дисплазии тазобедренного сустава2. Кроме этого, остеоартрит может развиваться вследствие травматических или хронических диспластических вывихов тазобедренного сустава. В некоторых ситуациях операция показана после остэктомии головки и шейки бедренной кости, переломов вертлужной впадины или головки бедренной кости, посттравматических дегенеративных изменений суставов3,4, а также при отсутствии клинического эффекта от консервативной терапии остеоартрита.
Клинический случай
Пациент: собака породы немецкая овчарка (сука), возраст 3,5 года, вес 26 кг. Владелец обратился с жалобами на снижение активности собаки, выраженную перемежающуюся хромоту и атрофию мышц тазовых конечностей. Диагноз «дисплазия тазобедренных суставов» был поставлен в раннем возрасте животного. Владелец придерживался консервативной терапии, которая включала контроль массы тела животного, укрепление мышечного тонуса, занятия с реабилитологом и прием препаратов для снижения воспаления и болевого синдрома.Диагностика
На основании неврологического осмотра не было выявлено патологических изменений. По результатам ортопедического осмотра правого и левого тазобедренных суставов: ограничение диапазона движений, крепитация, болезненность при манипуляциях; другие суставы без особенностей.Была проведена рентгенография тазобедренных суставов в дорсовентральной проекции с экстензией тазовых конечностей (фото 1).
Выявлены следующие патологические изменения правого и левого тазобедренных суставов:
- изменение формы головки бедренной кости;
- образование остеофитов на шейке бедренной кости;
- утолщение капсулы сустава (линия Моргана);
- покрытие головки менее 50%;
- сглаживание дорсального края вертлужной впадины;
- субхондральный склероз.
Было рекомендовано и проведено хирургическое лечение – протезирование тазобедренных суставов с интервалом между операциями в 3 месяца (фото 4).
Техника операции
Выполняется стандартный краниолатеральный доступ к тазобедренному суставу и проксимальному отделу бедренной кости. Осуществляется частичная миотомия глубокой ягодичной мышцы. Капсулу сустава вскрывают Т-образным разрезом, вывихивают головку бедренной кости и выполняют остэктомию головки и частично шейки бедренной кости.Для формирования бедренного интрамедуллярного канала, необходимого для установки ножки эндопротеза, используются дрель с приводом и коническая развертка. После этого кость вручную обрабатывают костным рашпилем, чтобы бедренный компонент протеза оптимально вошел в костномозговой канал. С помощью ацетабулярных римеров увеличивают и углубляют вертлужную впадину, подготовку проводят в соответствии с предоперационным планированием. Римируют хрящевую ткань до губчатой кости, при этом удаляются остатки круглой связки и остеофиты. С помощью центратора выравнивают положение вертлужного компонента протеза и фиксируют его методом плотной посадки (англ. press-fit), затем устанавливают ножку эндопротеза и фиксируют блокируемыми моно- и бикортикальными винтами. Интраоперационно определяют размер шейки протеза, устанавливают головку эндопротеза и выполняют вправление в вертлужную впадину.
После репозиции стабильность сочленения контролируется проведением трех тестов: экстензии, флексии и ротации. На следующем этапе проводится ушивание капсулы сустава с использованием монофиламентной абсорбирующейся нити и прерывистых узловых швов. Также производится сшивание глубокой ягодичной мышцы и послойное ушивание операционной раны с применением абсорбирующейся нити.
После завершения операции выполняется серия контрольных рентгенограмм для оценки положения имплантатов (фото 4, 5).
Обсуждение
В повседневной практике ветеринарного врача-ортопеда встречаются хронические клинические заболевания суставов, ускользающие от диагностических возможностей и непосредственно влияющие на качество жизни пациентов. Собаки, страдающие от патологического состояния, которое приводит к хронической боли, воспринимают ее так, как если бы она существовала всегда. Это бессознательное смирение, подкрепленное инстинктом выживания, влечет за собой «фоновое» страдание, снижающее качество жизни и влияющее на него. К сожалению, даже самые внимательные владельцы, которые проводят много времени со своими собаками, могут не заметить, что их питомец испытывает постоянный дискомфорт.Известно, что нервная система собак очень похожа на нервную систему человека. Пути боли, ноцицепторы и реакция на анальгетики во многом напоминают человеческие. Некоторые патологические состояния, а также остеоартрит вызывают хроническую боль6. Несмотря на то что периоды обострения сменяются моментами относительной ремиссии, в повседневной жизни таких собак боль присутствует постоянно.
При остеоартрите объективным доказательством наличия хронической боли может служить снижение мышечной массы больной конечности (фото 4). При односторонних состояниях это можно проверить посредством ее сравнения с мышечной массой здоровой конечности. В билатеральных случаях, например при дисплазии тазобедренных суставов, наблюдается общее снижение мышечного тонуса в мышцах тазовых конечностей6.
Рентгенологически степень тяжести остеоартрита можно оценить по степени выраженности склероза субхондральной кости, инконгруэнтности суставных поверхностей, а также по количеству периартикулярных остеофитов и уменьшению суставного пространства, что свидетельствует о потере хрящевого слоя5. При прогрессировании остеоартрита развивается снижение плотности костных структур из-за неиспользования больной конечности. В тяжелых случаях остеоартрита может возникнуть анкилоз пораженного сустава.
Заключение
Рентгенологические признаки дегенеративных заболеваний суставов позволяют оценить стадию развития остеоартрита (эрозию суставных поверхностей, эбурнеацию, субхондральный склероз в зоне перегрузки, остеофитоз и периартикулярный фиброз), однако для комплексной оценки состояния животного важно учитывать не только рентгенологические данные, но и клинические проявления.Более пристальное внимание владельцев при оценке компенсаторных отклонений в поведении и походке питомцев поможет оценить уровень боли, которую испытывают собаки.
Важно помнить, что лечение должно быть направлено на улучшение состояния пациента, а не на коррекцию рентгенологических данных.
Список литературы:
- Information website [Electronic resource]: surgeons list performing hip arthroplasty in dogs, clinical cases - Access mode: https://v-art.info/ (date of reference: 23.03.2025).
- Guerrero T. G., Montavon P. M. Zurich cementless total hip replacement: Retrospective evaluation of 2nd generation implants in 60 dogs. Vet Surg, 38: 70–80, 2009.
- Jankovits D. A., Liska W. D., Kalis R. H. Treatment of avascular necrosis of the femoral head in small dogs with micro total hip replacement. Vet Surg, 41: 143–147, 2012.
- Kalis R. H., Liska W. D., Jankovits D. A. Total hip replacement as a treatment option for capital physeal fractures in dogs and cats. Vet Surg, 41(1): 148-55, Jan 2012.
- The Veterinary Nurse’s Practical Guide to Small Animal Anaesthesia, edited by Niamh Clancy, 2023. – P. 280.
- Charles E. DeCamp, Spencer A. Johnston, et al. Brinker, Piermattei, And Flo’s Handbook Of Small Animal Orthopedics And Fracture Repair, 5th edition, 2003.





vetpeterburg
Ветеринарный Петербург